Choosing a mental health partner is a significant decision. At VASAV Health, we’ve built our practice on the belief that you deserve more than just a diagnosis. We offer a forward-thinking partnership designed to help you achieve lasting wellness by addressing the complete picture of your health. A treatment option like TMS (transcranial magnetic stimulation) is designed to help people who suffer most from treatment-resistant depression to start feeling better again.
of Patients
See Improvement
Million
Treatments Administered
of Patients
Reach Remission
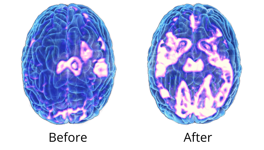
Transcranial Magnetic Stimulation uses strong, magnetic pulses distributed through a coil
to regulate the neural activity of brain structures associated with depression.


No Systemic Side Effects
While you may feel slight pressure on top of your head, most patients adapt to the sensation after just a couple of sessions.

Medication Free
Rest assured, you do not have to start a new medication regimen throughout TMS.

21 Day Difference
An analysis of 1,753 patients showed that the average patient achieved a sustained response after just 16 treatments.
"Had my first few appointments with the Nurse Practitioner Jasvir Gill at Vasav Health. I cannot speak highly enough of him. He was very attentive to all my concerns and answered all my questions in depth and worked collaboratively with me to develop a treatment plan that best suited my needs as opposed to my previous doctors office I had to switch away from due to them just brushing off all my concerns. Office staff was very accommodating as far as scheduling appointments went as well. I highly recommend working with Jasvir Gill and Vasav Health!"
- Prabh
"I got TMS a couple of years ago at a different place and it was good, it helped my depression and anxiety. Then I went to VASAV and got deep -TMS- it's newer and better technology and it really worked great. The TMS sessions were performed by Vivek, a knowledgable, friendly, and professional specialist in TMS. After the TMS protocol ended (36 sessions over 8 weeks) I started medication management with Hayley. She's great too - smart, friendly and compassionate. VASAV is the best place I've been for mental health treatment."
- Richard
"I’m so grateful to have found VASAV Health and Healing! I can’t recommend Dr Nair and his practice enough. I’ve never met a more compassionate psychiatrist, and I’ve worked with many, as a patient and as a professional. 10/10, I’ve recommended him to family and friends. Little Elm is lucky to have him ❤️"
- Jennifer

About 83% of patients who complete a full course of TMS show a clinically meaningful response and about 62% experience a remission, meaning their symptoms go away completely.

Sessions are about 20 minutes and you can drive to and from your appointments. The full course covered by insurance usually takes about 6-8 weeks to complete.

All major payers cover TMS treatment for Depression. If you've tried multiple antidepressants and therapy, there's a good chance your insurance covers it.

Schedule
Call the office, fill out a form, or book directly to request a consultation.

Meet
30 Minutes
We'll talk through your medical history and symptoms. You'll receive a personalized treatment plan, with insurance approval before starting.

Map
45 Minutes
During your first session, we determine device position to ensure the most effective treatment for you. This process is known as "mapping".

Treat
20 Minutes
Relax during treatment. After each session, you'll be able to resume your daily routine immediately.
Located in Little Elm
